Laden Sie Ihr Anfalls-Video
oder Ihr Kopf-MRT hoch.
Wir werden beides für Sie analysieren.

Um Ihr Video oder Ihr MRT auf unsere Plattform hochzuloaden, füllen Sie unser Kontaktformular aus. Wir melden uns in kürzester Zeit bei Ihnen zurück und Sie erhalten einen Link zur Plattform. Dort laden Sie Ihre Daten hoch und unser Experte sendet Ihnen innerhalb einer Woche seine professionelle Beurteilung zu.

Dr. Patrick House

Epileptologe und Facharzt für Neurologie

Was passiert nach dem Upload Ihrer Daten?

  • Anonymisierung
  • Professionelle Beurteilung
  • Handlungsempfehlung
Epilepsie Finder Epilepticon
Über uns

Über Epilepticon ®

Wir von Epilepticon stehen für eine effektive und nachhaltige Verbesserung der ambulanten Versorgung und Stärkung der Autonomie von Epilepsiepatienten weltweit. Denn bei uns können sich Epilepsiepatienten rund um das Thema Epilepsie informieren und jederzeit eine professionelle Erst- oder Zweitmeinung schnell und sicher einholen. Mit Epilepticon schaffen wir eine komfortable ambulante Alternative zu stationären Krankenhaus-Aufenthalten. Wir konzentrieren uns dabei auf die Beurteilung Ihrer MRTs und Anfallsvideos und werden schon bald auch Ihre Anfälle ambulant und digital überwachen können.

Anfälle & MRT

Wir konzentrieren uns auf zwei Kernbereiche

Anfälle

Wir beurteilen Ihre Anfallsvideos und überwachen auch bald Ihre Anfälle digital und sicher zu Hause.

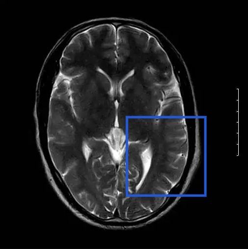
MRT-Diagnostik

Nachbeurteilung von Kopf-MRTs auf fokale cortikale Dysplasien (FCDs).

Mit Epilepticon wollen wir die
Patientenautonomie stärken und die
ambulante Versorgung von
Epilepsiepatienten deutlich verbessern.

Was sagen Patienten über Epilepticon?

Epilepticon half mir dabei, eine noch unerkannte FCD zu entdecken, die mein Radiologe nicht hatte finden können. Der Upload war sehr einfach, sobald ich den Link zur Plattform erhalten hatte. Nach dem Hochladen meiner Bilder kam die Rückmeldung vom Arzt schnell und ohne Probleme. Ich empfehle Epilepticon sehr gerne weiter.

Emily Dräger
Emily Dräger

Ich habe vor ein paar Wochen das erste Mal in meinem Leben mehrere Anfälle gehabt. Meine Freundin hat ein Handyvideo von mir gemacht und wir haben es auf Epilepticon hochgeladen. Vorher wurde das Video durch Epilepticon anonymisiert, was mir besonders wichtig war. Innerhalb weniger Tage kam eine klärende Antwort. Daraufhin bin ich gleich zu einem Epileptologen gegangen. Epilepticon hat mir in dieser anfänglichen Phase viel Sicherheit gegeben.

Mark Schuhmann
Kontaktieren Sie uns

Noch Fragen?

    Mit dem Ausfüllen des folgenden Formulars erklären Sie sich damit einverstanden, dass Ihre im Formular enthaltenen personenbezogenen Daten für Kontaktzwecke verarbeitet werden, und, wenn sich dies aus dem Inhalt der Anfrage ergibt – auch für Marketingzwecke, durch Epilepticon. Die Einwilligung kann jederzeit widerrufen werden, ohne die Rechtmäßigkeit der vor dem Widerruf vorgenommenen Verarbeitung zu beeinträchtigen. Weitere Informationen über die Verarbeitung personenbezogener Daten, einschließlich Ihrer Rechte, finden Sie in Informationsklausel und in unserer Datenschutzerklärung.